폐기흉 증상 알고 계신가요? 폐기흉은 폐와 가슴벽 사이에 공기가 차서 폐가 제대로 팽창하지 못하는 상태를 의미합니다. 이로 인해 호흡이 힘들어지고 심한 경우 응급 상황으로 이어질 수 있습니다. 오늘은 폐기흉 증상 원인과 치료, 폐기흉 수술 비용 및 군대 면제까지 알아보겠습니다.
폐기흉이란 (폐기흉 뜻)

폐는 풍선처럼 숨을 들이마시면 부풀고, 내쉬면 줄어듭니다. 그런데 풍선이 들어 있어야 할 자리에 바람이 새어 나와서 주변 공간(폐와 가슴벽 사이 공간)에 차게 되면, 풍선이 제대로 부풀지 못합니다. 이게 바로 폐기흉입니다. 쉽게 말해, “폐에 바람이 새서 숨을 잘 못 쉬게 되는 상태”라고 할 수 있습니다.
폐기흉은 자연 발생하는 경우도 있으며 외상이나 의료 시술 중 발생하는 경우도 있습니다. 특히 긴장성 폐기흉은 응급 상황으로 즉각적인 조치가 필요합니다. 이처럼 기전과 발생 상황에 따라 폐기흉은 임상적 의미가 크게 달라집니다.
폐기흉을 단순히 ‘폐에 바람이 찼다’고 표현하지만 실제로는 생명에 위험을 줄 수 있는 복잡한 병태입니다. 따라서 기본 개념을 명확히 이해해야 합니다.
폐기흉 원인

폐기흉은 크게 자발성, 외상성, 의료적 요인으로 나눌 수 있습니다. 겉보기에는 건강해 보이는 젊은 사람도 폐 표면에 작은 ‘물집’ 같은 게 생길 수 있습니다. 이 물집이 터지면 바람이 새어나와 폐기흉이 됩니다.
특히 키가 크고 마른 체형의 남성에게서 잘 생기는데, 정확히 왜 그런지는 아직 명확하지 않지만, 폐 구조와 압력 차이 때문으로 추정됩니다. 흡연은 이런 물집이 잘 생기게 만들어 위험을 크게 높입니다.
이차성 자발성 폐기흉은 COPD, 결핵, 폐섬유증 등 기저 폐질환과 관련이 있습니다. 또한 흉부 외상, 교통사고, 낙상, 시술 중 합병증 등도 원인이 될 수 있습니다.
잠수나 비행기 탑승 시 압력 변화가 문제를 일으킬 수도 있으므로 병력이 있는 경우 주의가 필요합니다. 즉 원인은 단순하지 않고 생활 습관, 환경, 기존 질환 등 다양한 요소가 복합적으로 작용합니다.
폐기흉 증상 (폐기흉 증세)

폐기흉의 증상은 폐가 얼마나 갑자기, 또 얼마나 크게 눌리는지에 따라 차이가 납니다. 어떤 사람은 단순히 가슴이 뻐근하거나 숨이 조금 불편한 정도로 끝나지만, 다른 사람은 생명을 위협하는 심각한 호흡곤란까지 겪을 수 있습니다.
가장 흔한 증상은 갑자기 한쪽 가슴에 생기는 날카롭고 찌르는 듯한 통증입니다. 이 통증은 깊게 숨을 들이쉴 때나 기침, 몸을 움직일 때 더 심해지는 경우가 많습니다. 통증은 보통 폐가 손상된 쪽에서 느껴지며, 작은 폐기흉일 때는 단순히 불편감 정도로 지나칠 수도 있습니다.
다음으로 흔한 증상은 **숨이 차는 느낌(호흡곤란)**입니다. 경미한 경우에는 평소보다 숨쉬기가 조금 힘든 정도지만, 심하면 말을 하거나 가만히 앉아 있어도 숨이 가빠질 수 있습니다. 특히 갑작스럽게 숨이 차면서 불안하고 초조해지는 느낌이 들면 주의해야 합니다.
겉으로 드러나는 변화로는 숨을 쉴 때 한쪽 가슴이 잘 움직이지 않거나 덜 부풀어 오르는 것이 관찰될 수 있습니다. 심한 경우에는 입술이나 손끝이 파랗게 변하는 청색증이 나타날 수 있는데, 이는 몸에 산소가 부족하다는 신호입니다.
가장 위험한 형태인 긴장성 폐기흉에서는 증상이 매우 빠르게 악화됩니다. 갑자기 극심한 호흡곤란, 어지럼증, 의식 저하, 맥박이 빨라지거나 혈압이 떨어지는 증상이 동반될 수 있습니다. 목 주변 혈관이 불룩 튀어나와 보이기도 합니다. 이러한 경우는 즉시 응급실로 가야 하며, 지체하면 생명이 위태로울 수 있습니다.
요약해보면, 폐기흉 증상은 ‘갑작스러운 가슴 통증과 숨이 차는 느낌’이 핵심입니다. 가볍게 나타날 수도 있지만, 경우에 따라 심각한 응급 상황으로 진행할 수 있으므로 증상이 의심되면 반드시 빠른 검사와 진료가 필요합니다.
폐기흉 진단 방법

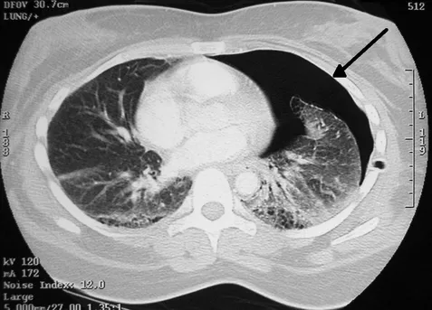
폐기흉이 의심되면 제일 먼저 가슴 엑스레이를 찍습니다. 사진으로 보면 원래는 까맣게 보여야 할 폐 부분이 줄어들고, 공기가 비정상적으로 모인 공간이 보입니다. 조금 더 자세히 보려면 CT 촬영을 하기도 합니다. 만약 응급 상황이라면 초음파로도 빠르게 확인할 수 있습니다.
이러한 검사들을 종합하면 진단 정확도를 높일 수 있으며, 이후 적절한 치료 계획을 세우는 데 중요한 역할을 합니다. 따라서 진단 과정은 단순히 확인이 아닌 치료 방향을 결정하는 핵심 단계입니다.
폐기흉 치료 (폐기흉 치료기간)

폐기흉의 치료 방법은 환자의 상태, 폐가 얼마나 찌그러졌는지, 그리고 증상이 얼마나 심한지에 따라 달라집니다. 크게는 “그냥 지켜보기”에서부터 “수술”까지 여러 단계가 있습니다.
폐가 다시 떨어지지 않도록 가슴 안쪽을 붙여주는 방법(흉막 유착술)을 함께 시행합니다. 요즘은 대부분 흉강경 수술이라고 해서 배에 내시경 넣듯이 가슴에 작은 구멍만 뚫고 진행하기 때문에 회복이 비교적 빠릅니다.
1. 아주 작은 경우(증상이 거의 없을 때): 폐가 살짝만 찌그러져 있고 증상이 심하지 않다면, 특별한 시술 없이 산소를 마시면서 며칠 지켜보기도 합니다. 시간이 지나면 폐 안에 들어간 공기가 조금씩 흡수되어 폐가 자연스럽게 다시 펴집니다.
2. 조금 더 심한 경우: 증상이 있거나 폐가 많이 찌그러졌다면, 주사기 같은 기구로 가슴 안에 들어간 공기를 직접 뽑아내는 방법을 씁니다. 이 과정을 통해 폐가 다시 정상적으로 팽창할 수 있도록 도와줍니다.
3. 더 심한 경우: 공기가 계속 차거나 폐가 많이 눌려 있다면, 가슴에 작은 관(호스 같은 것)을 꽂아 공기를 지속적으로 빼주는 방법을 사용합니다. 이 관을 통해 폐가 다시 펴지고, 공기가 새어나가지 않도록 며칠간 유지합니다.
4. 자주 재발하거나 심한 경우(수술): 폐기흉이 반복해서 생기거나, 폐 안쪽에 바람이 새는 원인이 뚜렷하게 보일 때는 수술을 권합니다. 수술에서는 바람이 새는 부분(작은 기포나 혹 같은 것)을 잘라내고, 폐가 다시 떨어지지 않도록 가슴 안쪽을 붙여주는 방법(흉막 유착술)을 함께 시행합니다. 요즘은 대부분 흉강경 수술이라고 해서 배에 내시경 넣듯이 가슴에 작은 구멍만 뚫고 진행하기 때문에 회복이 비교적 빠릅니다.
폐기흉 수술 비용

폐기흉 치료와 수술 비용은 국가와 병원, 보험 적용 여부에 따라 크게 달라집니다. 대한민국의 경우 흉관 삽입은 수십만 원에서 백만 원대, 흉강경 수술은 수백만 원대까지 발생할 수 있습니다. 보험 적용 시 환자가 부담하는 금액은 줄어들지만 입원 기간, 사용 재료 등에 따라 차이가 있습니다. 미국과 같은 해외에서는 수천에서 수만 달러까지 소요될 수 있어 의료 체계의 차이가 큽니다.
따라서 정확한 비용은 치료 예정 병원과 보험사에 반드시 문의해야 하며, 본인 상황에 맞는 현실적인 계산이 필요합니다. 군 복무 중이라면 군 병원 체계를 통해 비용과 절차가 달라질 수 있습니다.
폐기흉과 군대 면제
폐기흉 병력이 있는 경우 입영 신체검사 시 관련 진료 기록을 제출해야 하며, 치료 여부와 재발 여부에 따라 복무 가능, 군대 면제 여부가 결정됩니다. 복무 중 폐기흉이 발생하면 군 의료 체계에 따라 즉각 치료가 진행됩니다. 재발이 잦거나 수술 후 합병증이 있다면 보직 제한이나 전역 판정을 받을 수 있습니다. 군대의 활동 특성상 폐기흉 위험이 커질 수 있으므로 전문적인 판단이 요구됩니다.
특히 격렬한 신체 활동이나 고지대 훈련, 잠수, 비행 임무 등은 재발 가능성을 높이므로 의학적 처분이 중요합니다. 개인별 상황에 따라 결과가 다르므로 병무청과 군 의료기관에 반드시 확인해야 합니다.
폐기흉 회복
작은 폐기흉은 며칠에서 몇 주 사이 자연 회복되기도 하고, 수술 후에는 수주간의 회복 기간이 필요합니다. 첫 발생 이후 재발 가능성이 있으므로 생활 관리가 매우 중요합니다. 흡연은 재발률을 크게 높이므로 반드시 금연해야 합니다. 또한 비행이나 잠수 같은 압력 변화가 큰 활동은 전문의 확인 후에만 가능하며 대부분 제한됩니다.
격렬한 운동이나 무거운 물건을 드는 활동도 초기 회복기에는 주의해야 합니다. 추적 관찰과 정기 검진을 통해 재발 여부를 확인하는 것이 필수입니다.
폐기흉 응급 상황 시 행동 요령
갑작스럽고 심한 가슴 통증이나 호흡 곤란이 발생하면 즉시 응급실을 찾아야 합니다. 어지럼증, 실신, 혈압 저하, 청색증 등이 나타난다면 긴장성 폐기흉 가능성이 높습니다. 이 경우 시간 지체는 생명에 치명적일 수 있습니다. 따라서 증상 발생 시 지체하지 않고 응급 의료기관을 방문하는 것이 최선입니다.
응급 상황에서는 빠른 대응이 생존율을 결정하므로 환자와 보호자 모두 기본 대응 방법을 알아두는 것이 중요합니다. 이는 단순한 상식 차원을 넘어 실제 생명을 구할 수 있는 지식입니다.







